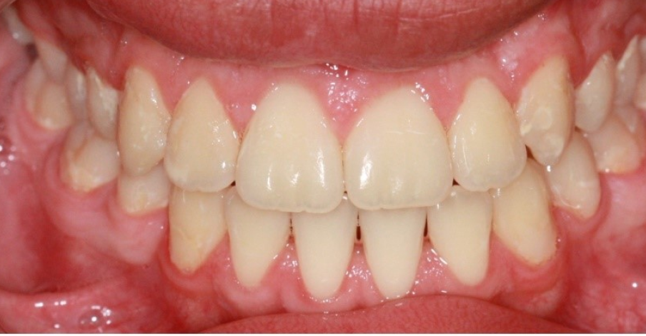
Професионална грижа за вашатанасмевка!
Стоматолошки услуги прилагодени за сите возрасти со најсовремени технологии.
Професионални прегледи, дијагностика и третмани за одржување на здравјето на вашите заби, со фокус на превенција и навремено откривање на проблеми.
Лечење на коренови канали за спасување на забите од дополнителни оштетувања, со користење на најсовремени техники за максимално заштита и долговечност.
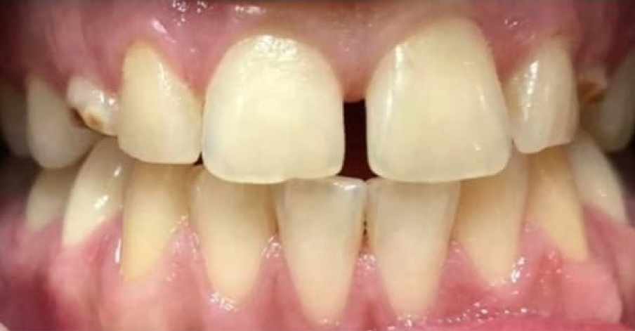
Решенија за израмнување на забите преку мобилни и фиксни апарати, вклучувајќи современи опции како Invisilign за дискретни и ефикасни резултати.
Современа дигитална рентген дијагностика која овозможува брзо и прецизно откривање на проблеми во усната шуплина, со минимално изложување на радијација.
Прецизни и безбедни хируршки процедури, вклучувајќи екстракција на заби, гингивектомија и циркумцизија, со грижа за максимален комфор на пациентите.
Рано откривање и превенција на стоматолошки проблеми кај деца, со фокус на здрави навики и третмани кои ги спречуваат подоцнежни компликации.
Област за функционално и естетско надоместување на изгубени заби и дефекти на структури.
