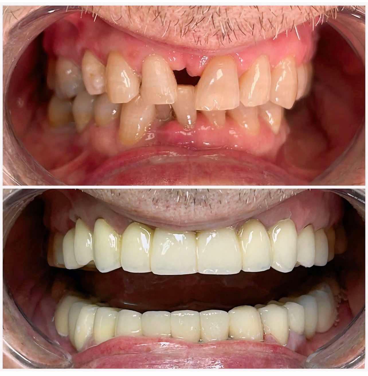
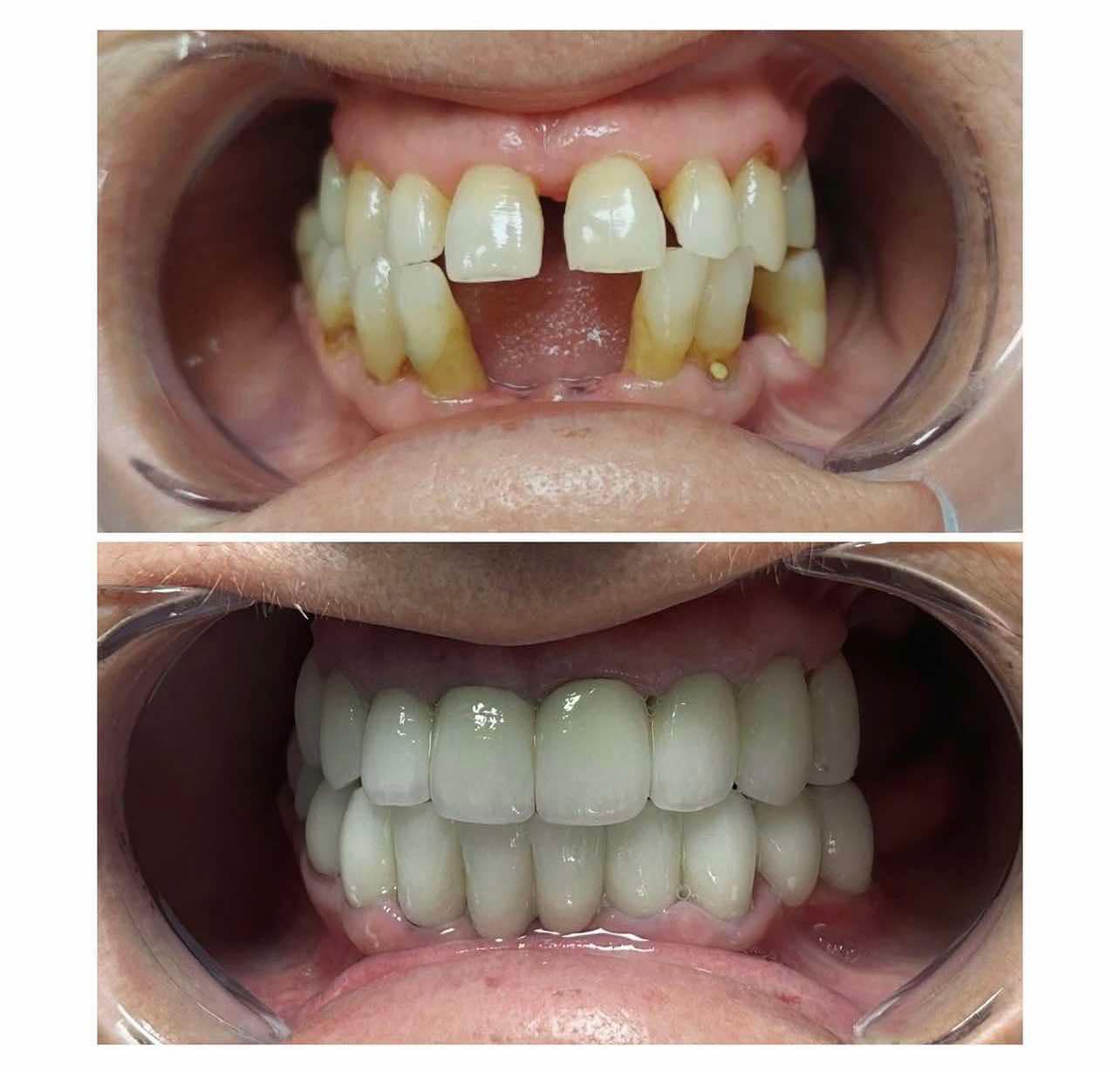
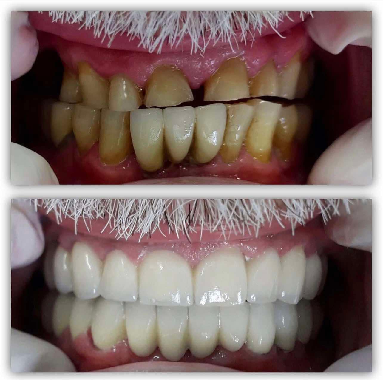
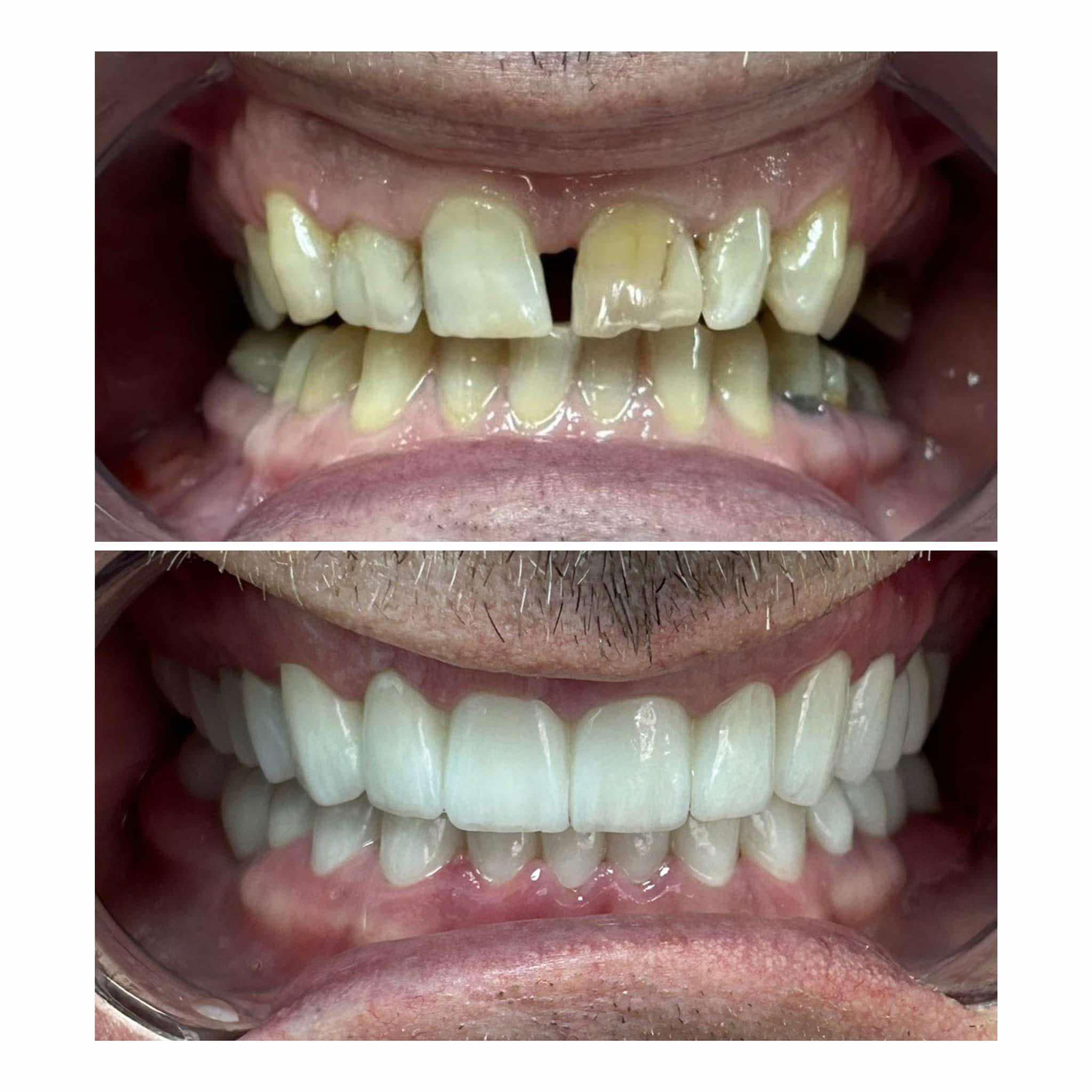
Протетика

Протетиката е гранка на стоматологијата која се фокусира на обновување на функцијата, естетиката и здравјето на вашите заби. Нашите услуги опфаќаат мобилни и фиксни протетички решенија, изработени според највисоките стандарди и со целосно персонализиран пристап.
Мобилна протетика
Мобилната протетика обезбедува удобност и практичност, особено погодна за пациенти кои сакаат флексибилни опции. Во оваа категорија нудиме:
Акрилатни парцијални протези
-Класични: Стандардни протези кои овозможуваат функционално решение.
-Со проѕирен акрилат: За подобрена естетика и дискретен изглед. Протези дизајнирани според вашите специфични потреби и удобност.
Тотални протези
-Класични: Сигурно решение за целосна реставрација на забната функција.
-Со проѕирен акрилат: Природен и естетски изглед за вашата насмевка.
-Индивидуализирани: Максимална удобност и прецизно вклопување.
Визил протези:
-Изработени за дополнителна стабилност и издржливост.
-Опција со припрема за максимално прилегање и функционалност.
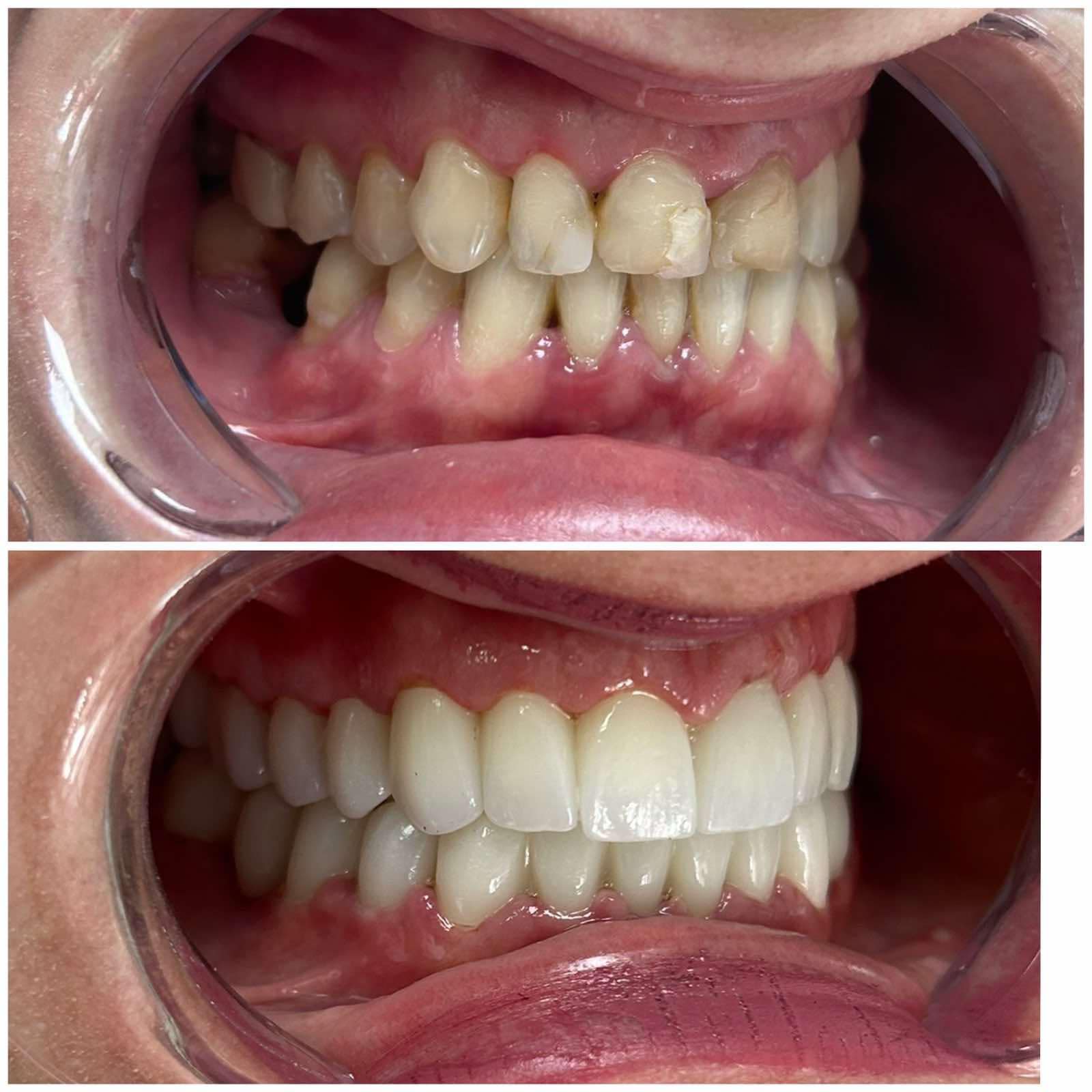
Фиксна протетика
Фиксните решенија обезбедуваат долготрајна стабилност и природен изглед. Нашите услуги во оваа категорија вклучуваат:
Коронки
-Метал-керамички: Комбинација на сила и естетика.
-Цирконија: Биокомпатибилен материјал за природен и елегантен изглед.
-Full цирконија: Врвна издржливост и беспрекорна естетика.
Мостови
-Метал-керамички: Одличен избор за функционална реставрација.
-Цирконија и Full цирконија: Современи решенија со ненадмината прецизност и трајност.


